
Independent. Innovative. Inspired by you, your smile isn’t from a box—it’s personally designed by our Doctors who are leaders in cosmetic and digital dentistry
At Chichetti & Patel Dental Wellness, we believe that dentistry should be anything but ordinary. That’s why we’ve reimagined the experience from the ground up—with personalized care, leading-edge technology, and a deep commitment to your total wellness. From the moment you walk through our doors, you’ll discover a practice that looks, feels, and functions differently—because you deserve care that’s as unique as you are.
We call this approach TruPathᴰᵂ—a custom diagnostic and care model that considers the whole patient at every age and every stage of life. Whether you’re here for preventive care, cosmetic enhancements, or complex restorative work, TruPathᴰᵂ ensures that every treatment is designed with your long-term health, comfort, and confidence in mind.
trupathDW – the Chichetti & Patel difference
We pledge to continue to learn, continue to get better, and not let good prevent us from being great. This is the place where our patients refer their friends and family. Our mission is to be the gold standard, simply the best!
What Makes Chichetti & Patel Different?
Unboxed Approach
Rejecting cookie-cutter dental practices, Chichetti & Patel deliver fully customized treatments that reflect each patient’s unique needs, goals, and preferences.
TruPathᴰᵂ Program
A transformative wellness program that combines advanced cosmetic procedures, restorative care, and preventive solutions to achieve life-changing dental health results.
Patient-Centric Care
Every decision prioritizes the patient’s well-being, comfort, and satisfaction, creating a partnership built on trust and personal connection.
Innovative Expertise
With years of experience and a commitment to staying at the forefront of dental advancements, Chichetti & Patel provide precision-driven, state-of-the-art results designed to last.
Focus on Wellness
Rooted in the belief that oral health is the foundation of overall wellness, the practice empowers patients with education and treatments that enhance both their smiles
and their lives.
Advanced Technology
Equipped with a 3D printer, CT imaging, intraoral scanners, and CEREC same-day restoration systems, we use state-of-the-art tools to deliver precise, efficient, and comfortable care.
Featured Services
Same-Day Crowns
No temporaries. With advanced digital technology, we design and place your permanent crown in just one visit—precise, natural-looking, and built to last.
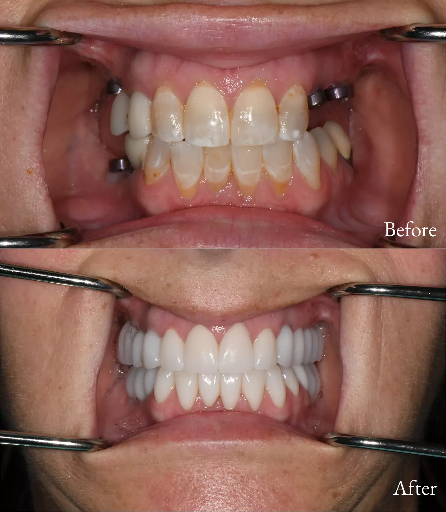
Smile Makeovers
Love your smile again. With advanced cosmetic techniques, we repair, brighten, and transform teeth to create a look that is healthier and feels completely natural.
SureSmile Aligners
Clear, removable, and designed just for you. SureSmile® Aligners gently guide your teeth into place for a confident smile without brackets or wires.
Sleep Dentistry
Quality sleep begins with your airway. Our doctors identify and treat sleep-related dental issues to improve your breathing, health, and overall well-being.
See the Transformation












